当前位置: 首页  >> 新闻中心  >> 查看详情

山东ERAS论坛 | 巨大食管裂孔疝的胸腔内压迫:围术期管理的警示与对策

来源: 青海省临床麻醉质控中心  日期:2025-12-01 09:32:29  点击:421 
分享:

    随着人口老龄化的加速,食管裂孔疝(Hiatal Hernia),尤其是“巨大食管裂孔疝”的临床检出率明显增加。由于症状常不典型,此类病变在围术期极易被忽视。然而,当大量胃组织疝入胸腔,可形成类似“胸腔占位性病变”的效应,压迫心脏及大血管,引发威胁生命的循环与呼吸系统事件。2024年《Anesthesiology》刊载的影像学病例清晰展示了胸内胃对心脏及下腔静脉的显著压迫。本期《山东ERAS论坛》聚焦此病例,从病理生理机制到麻醉管理策略展开全方位解析。

图片
01
 
病例概述
 
图片
 
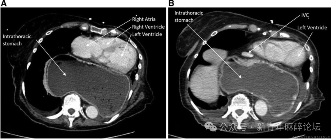
影像学发现:
图1A:胸部CT影像显示大体积胸内胃占据胸腔空间,对心脏结构(右心房、右心室及左心室)形成显著的占位效应,致其受压、移位。
图1B:胃囊同时压迫下腔静脉,使其管腔明显狭窄。
 
附视频:示食管裂孔疝对周围器官的整体压迫情况。
 
临床意义与管理要点:

巨大食管裂孔疝在老年人群中较为常见,但症状不典型,往往在术前评估中被低估。此类患者属于反流误吸的极高危人群。因此,1、麻醉诱导前预置胃管减压,是降低误吸风险、改善通气和缓解胸腔压迫的关键步骤。2、气道管理需根据评估选择快速顺序诱导或清醒纤维支气管镜插管。3、巨大食管裂孔疝的危害远不止胃食管反流。疝囊对下腔静脉的压迫可急剧减少静脉回流,引发顽固性低血压;对心脏的直接压迫(即“张力性胃胸”)可导致心律失常、血流动力学崩溃甚至心脏骤停。

 

麻醉诱导期间如出现无法解释的严重低血压,应立即警惕“张力性胃胸(tension gastrothorax)”,并通过胃管迅速减压,常可立刻改善血流动力学。

02
 
深度讨论
 

1、巨大食管裂孔疝的病理生理机制

(1)循环系统的“绞索效应”:下腔静脉受压如同钳闭了回心血流的主干道,直接导致前负荷骤减,心输出量下降。心脏(尤其心房)受压则影响舒张期充盈,并可机械性诱发从房室传导阻滞到室性心律失常等一系列恶性心律失常。这种因胃疝入胸腔导致的急性循环障碍,被形象地称为“张力性胃胸”,其危急程度可与张力性气胸相提并论。

(2)呼吸功能受限的双重挑战:胸内胃占据胸腔有效容积,压迫肺组织,导致肺顺应性降低和通气血流比例失调,为术中及术后呼吸管理带来挑战。(3)反流与误吸高风险: 食管下段括约肌的解剖结构改变和功能失调,使其屏障作用丧失,显著增加围术期反流与误吸的风险。

 

2、围术期麻醉管理策略

巨大食管裂孔疝患者的围术期管理应从术前评估、麻醉诱导到术后复苏全程把控风险。

 

①.术前评估:识别“隐匿风险”

强化影像学筛查意识,尤其对于老年、肥胖或有不明原因胸痛、卧位呼吸困难的患者,应仔细阅片,警惕胸腔内胃泡影及纵膈移位。评估心、肺功能代偿能力,询问与疝囊压迫相关的非典型症状(如餐后心悸、气促)。

 

②.麻醉诱导与气道管理:高风险环节的精准把控

预置胃管减压应视为此类患者的“标准预备流程”,兼具防误吸和稳定循环的双重意义。

 

诱导方式需个体化权衡。快速顺序诱导是防范误吸的基石,但若患者已存在明显心肺压迫症状或困难气道,清醒镇静下的纤维支气管镜插管是更为安全的选择,它能最大程度保持自主呼吸和循环稳定。肌松药的应用需谨慎,腹壁张力消失可能加剧胃疝入胸腔,使压迫恶化。

 

③.术中管理与危机处置

通气策略:采用保护性肺通气策略,避免高气道压进一步加重胸腔内压和循环抑制。

 

循环监测: 对于巨大疝或术前即存在压迫征象者,推荐进行有创动脉血压监测,以实现对血压的实时、精准把控。危机处理: 若术中出现不明原因的严重低血压或心律失常,在排除常见原因后,必须想到“张力性胃胸”的可能。首要抢救措施是立即、充分地通过胃管进行胃肠减压。多数情况下,减压后血流动力学能迅速改善。若无效,需果断寻求外科紧急干预。

03
 
专家访谈
 

受访专家:董河 主任医师(青岛大学附属医院麻醉科)

 

Q1:巨大食管裂孔疝患者在接受非疝修补手术的麻醉时,其风险具有隐匿性和突发性。在术前评估中,除了常规关注反流风险,我们还应从循环和呼吸角度重点评估哪些内容?

 

A:除了常规评估,我们更应聚焦其“胸腔占位效应”。循环方面:关注患者在平卧时是否出现胸闷、心悸、头晕或晕厥等症状——这可能提示心腔或大血管受压。若术前心电图出现无法以冠心病解释的传导阻滞或心律失常,也要考虑心脏受压的可能。呼吸方面:详细询问平卧呼吸困难史。认真阅片,评估肺压缩程度、心脏移位范围及下腔静脉受压情况。这些信息是制定个体化通气与循环管理策略的关键依据。

 

Q2:此类患者在麻醉诱导期极易发生严重低血压,且原因复杂。除了常规的扩容和血管活性药物准备,我们在诱导流程和药物选择上应有哪些特别的考量?

A:此类患者诱导期的核心原则是——“平稳过渡,避免激惹”。主要操作要点:采用头高斜坡位进行预氧合,减轻疝囊对膈肌与胸腔的压力;选择对循环抑制轻的诱导药物,滴定给药,避免***等升腹压药物;在肌松药给予前完成胃管置入并开放引流,先行降低“张力源”;可将胃管连接负压吸引瓶,便于随时观察引流是否通畅;麻醉医生与护士应密切配合,分工明确,确保诱导过程安全、顺畅。

 

Q3: 对于这类患者,在手术结束后和麻醉复苏期,有哪些需要特别警惕的风险和相应的管理策略?

A:麻醉复苏期绝非“安全区”,反而是胸腔再次受压和误吸风险高发的关键阶段。这一阶段麻醉医生需重点关注以下四点:1、延迟拔管:对术中循环波动明显或压迫症状严重的患者,应在深麻或完全清醒后拔管,避免呛咳致腹压骤升;2、保持胃管通畅:引流应持续至患者完全清醒,拔管前需确认无明显积气积液;3、体位管理:转运及拔管后保持头高斜坡位,既能减压又防反流;4、强化监测与交接:复苏室及病房应持续监测循环、呼吸指标,重点观察有无压迫相关症状。
 
巨大食管裂孔疝可能是围术期最容易被忽视的“假象性危机”。麻醉医生应始终保持警觉,充分识别其胸腔占位效应,通过精确的术前筛查、个体化诱导方案及快速应急减压,才能真正保障患者安全。
04
 
专家简介
 
图片

董河,男,医学博士,主任医师,教授,硕士研究生导师。现任青岛大学附属医院崂山院区麻醉科主任、崂山院区第二党支部书记。兼职:中国医师协会麻醉学医师分会气道管理学组委员,中国中西医结合学会围术期专委会委员,中国心胸血管麻醉学会急救与复苏分会委员,山东医学会麻醉学分会气道管理学组副组长,山东神经科学学会麻醉与脑功能分会副主委,山东卫生人力资源管理协会麻醉学专委会副主委,山东省医师协会舒适化医疗专委会常委,山东医师协会加速康复外科分会常委,山东省老年医学会麻醉分会常委。麻醉分会常务委员

 

翻译:柴东岳、禚艳丽(青岛大学附属医院)
审核:张军伟、董胜男(青岛大学附属医院)
 
 

《山东ERAS论坛》是由青岛大学附属医院麻醉科作为山东省医师协会加速康复外科分会首届主委单位,携手新青年平台,倾力打造的学术专栏。在山东ERAS论坛平台支持下,本期专栏由青岛大学附属医院崂山院区麻醉科牵头策划并供稿。

 
 
青岛大学附属医院麻醉
 
图片

青岛大学附属医院前身于1898年创建,目前麻醉科下设市南、崂山、西海岸、平度和日间麻醉五大病区,拥有125间手术室、180名麻醉医师、118名麻醉护士及62张恢复室床位。每年科室完成手术室麻醉17万余例、日间麻醉10万余例,其中ASA III级以上患者占比超30%,业务范围广泛,涵盖肝移植、心脏移植、达芬奇机器人手术等高难度亚专科麻醉。2024年1月开设麻醉特色神经调节治疗失眠专病门诊,截至目前,已接诊1100多人次,行超声引导下星状神经节阻滞1500余次,在原发性失眠、减停安眠药治疗失眠及多种相关疾病治疗方面取得良好效果。

 

青岛大学附属医院麻醉科是山东省“省级临床重点专科”,并获批建设“山东省医药卫生麻醉与脑功能重点实验室”。作为青岛市麻醉专业中唯一的“攀峰学科”建设单位,该科室还入选山东省首批国家级麻醉专业住院医师规范化培训基地,同时也是青岛大学硕士和博士研究生的重要培养点。

 
图片
END

相关新闻

    暂无信息